メニュー
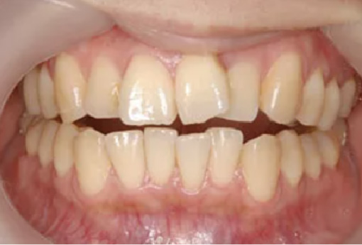
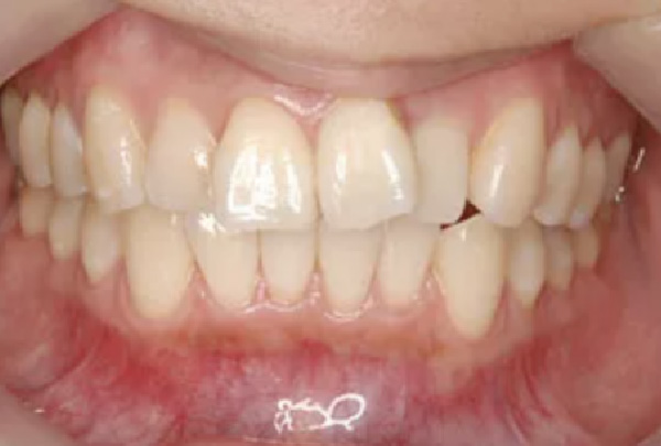
ホワイトニング歯みがきや歯のクリーニングでは落ちない、歯の黄ばみを、歯を溶かしたり、削ることなく白くする方法です。歯の表面にホワイトニング剤を塗布し、歯の黄ばみ色素を分解して歯を白くしていきます。天然の歯を白くしていくため、自然な色の仕上がりになり、笑顔の魅力度が格段にアップします。
ホームホワイトニングとは
歯科医院でホワイトニング用のマウスピースを作製し、それにホワイトニング剤を入れ、ご自宅で行うホワイトニングです。光の強さや当たり方に左右されないマウスピースタイプのホワイトニングです。
-
メリット
ご自宅やオフィスで好きな時間に好きな歯に
ホワイトニングができます。 -
デメリット
長時間マウスピースを装着しなければなりません。
その間飲食ができません。(1~4時間程度)
施術の流れ
-
1- 当医院にて歯石の除去等を行ない、お口の中をキレイに清掃します。ホワイトニングは、虫歯や歯周病のない状態で行う治療です。大きな虫歯があった場合は、ホワイトニングの薬液によって、痛みが誘発されて治療できません。歯周病があった場合は、歯茎からの出血により、血液が混じって薬液の効果が出ません。そのため1回目は口腔内診査(歯石除去&PMTC)及びカウンセリングや食事制限の説明をいたします。これにより本来の歯の色に戻ります。
-
2- 歯型を採り、患者様の歯並びに合ったマウスピースを作ります。
-
3- そのマウスピースを一度合わせてみて、薬剤の使い方や1日の使用時間などの説明を受けて帰宅します。
-
4- 変色の程度にもよりますが、最初は1日2時間程度から特に問題がなければ時間を延ばして装着していただき、約2週間続けます。
-
5- 2週間に1度程度ご来院いただき、歯の色の状態をチェックしていきます。継続される場合は追加で薬剤のみを購入して頂きます。
ホワイトニング前の
おすすめメニュー
-
- BEFORE

- AFTER
