メニュー
審美歯科審美歯科では美しい白さと高い耐久性、さらに汚れがつきにくいセラミック素材が使用されます。当院では患者さま一人ひとりの歯の色や形にあったオーダーメイドの審美歯科・セラミック治療をご提供します。
審美歯科とは
審美歯科とは、歯を白くするだけではなく、事故で欠損した歯を他の歯と変わりなく治療したり、目立ってしまう詰め物を目立たない詰め物にしたりと、総合的な歯の美しさを修復する治療のことを言います。保険外治療が多いものの、治療後の満足感は格段にあがるはずです。
-
- 銀歯が目立つので
思い切り笑えない - 被せ物や詰め物が変色して
困っている - 歯に白さがなく黄ばんでいる
- 矯正は時間がかかるので
したくない
- 銀歯が目立つので
-
- 前歯の形が良くない
- 前歯にすき間があって
歯を見せられない - 歯ぐきの黒ずみが気になっている
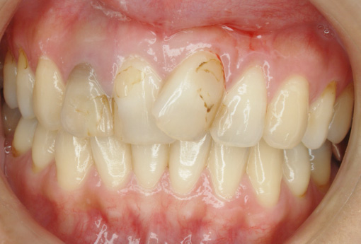
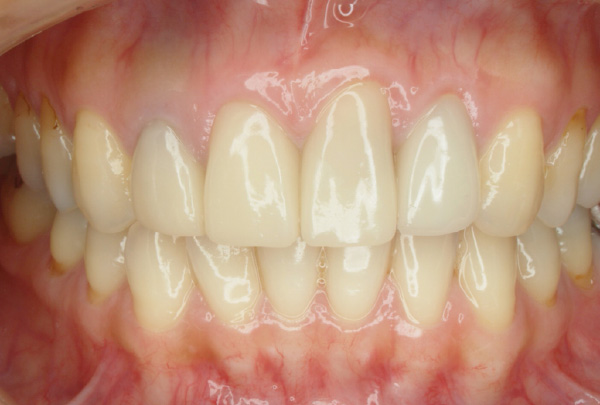
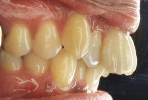
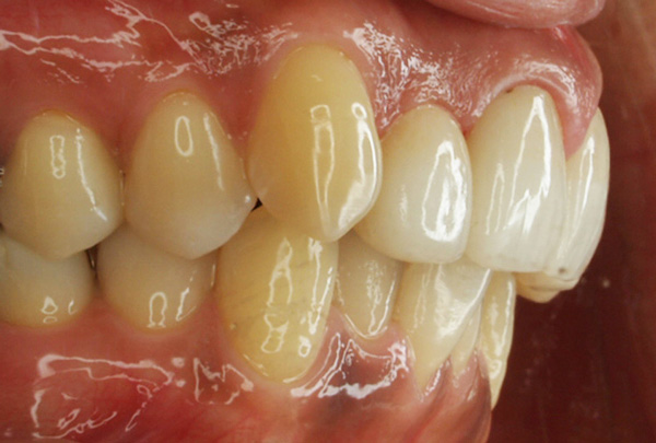
セラミック症例
-
- BEFORE

- AFTER

-
- BEFORE

- AFTER
