メニュー
インプラントふじなわ歯科医院は、患者さまの「噛めない」というお悩みを解決するインプラント治療をご提供します。一生使えるインプラント治療を目指し、お口をじっくり見させていただいた上で全体のバランスを見て、患者さまに合った形で治療を進めます。しっかり噛める喜びを取り戻し、心から満足していただける治療をご提供できるよう全力を尽くします。
インプラントとは
インプラント治療とは、失ってしまった自分の歯の代わりに、人工の歯根を顎の骨に埋め込み、その上に人工の歯を作製して噛み合わせを回復する治療法です。
固定性であるためガタついたりせず、自分の歯のように噛めるようになります。慣れるまでは多少違和感を感じることもありますが、その期間を過ぎれば、自然の歯に匹敵する機能が得られます。最新の歯科技術によって、自分の歯と同じように作ることが可能です。
-
インプラントのメリット
人工の歯根を埋め込み独立した歯を装着するので、隣の歯に負担をかけないばかりでなく、自分の本当の歯のように力強く物を噛むことができ、見た目も自然で美しく仕上がります。
-
ブリッジのデメリット
従来のブリッジで治療する場合には、隣の健康な歯を削らなければならないだけでなく、装着後もずっと隣の歯に負担をかけてしまいます。
全ての歯を失った方でも
「All-on-4」で
負担のない治療を
All-on-4とは、すでに無歯顎かあるいは戦略的抜歯などをして無歯顎になった状態の顎に、4本から7本のフィックスチャーを埋入して12本の義歯を即時荷重させるものです。その際、前方のフィックスチャーは真っ直ぐに、後方のフィックスチャーは上顎洞や下顎管を避けるために傾斜をつけて埋入するのが特徴的です。この方法を用いることにより、即時荷重ができるようになります。
インプラントの流れ
-
1- 検査と治療計画
- 失われた歯の数、インプラントを埋め込む骨の硬さ、大きさ、位置により治療法には様々な選択肢があります。歯にかかる力の方向や強さはもちろん患者さんに無理のない衛生管理などを含め総合的に検討したうえで治療計画が立てれます。
-
2- 一次手術
-
ふじなわ歯科医院では、仮歯用のインプラントを埋入することによって、本インプラントが定着するまでの期間、歯がなかったり入れ歯を入れることなくお過ごしいただけるようにしております。
※仮歯用インプラントの制作や埋入には別途料金は頂いておりません。
※骨の状態によっては仮歯用インプラントの埋入が出来ない場合もございます。
-
3- 治療期間
- 一次手術後、2ヶ月〜3ヶ月の治癒期間をおくことで、インプラントと骨が強い力で結合します。(オッセオインテグレーション)
-
4- 二次手術(一回法の場合は不要)
- 歯茎を開いて人工の歯を取り付ける準備をします。この状態で歯茎が治るまで1~6週間おきます。
-
5- 人工の歯を制作・設置
- 歯茎が治った後、アバットメント(歯台)の装着、印象採得を行い上部(人工の歯)を製作して取り付けます。
インプラント症例
-
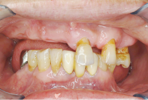
- BEFORE

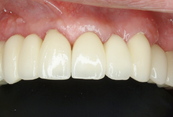
- AFTER

-
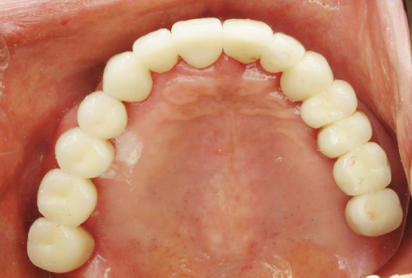
- BEFORE

- AFTER
